Tumor Carcinoide / VI Congreso Virtual Hispanoamericano de Anatomía Patológica - Occurrence of gastric cancer and carcinoids in atrophic gastritis during.
Dapatkan link
Facebook
X
Pinterest
Email
Aplikasi Lainnya
Tumor Carcinoide / VI Congreso Virtual Hispanoamericano de Anatomía Patológica - Occurrence of gastric cancer and carcinoids in atrophic gastritis during.. Carcinoid tumors are a type of neuroendocrine tumor that can occur in a number of locations. Of only 31 cases previously reported in the literature 4 arose within horseshoe kidneys. § peptic ulcers do not typically develop in patients with. Carcinoid tumor is a rare type of tumor that usually grows slowly. Carcinoid tumors may form in other organs of the body besides the lungs.
Lahner e., esposito g., pilozzi e. Development of carcinoid tumors of the lung is not well understood but some cases are associated with diffuse. El tumor carcinoide es un tipo de cáncer que deriva de las células del sistema endocrino difuso y pertenece a la familia de los tumores neurosecretores. They usually start in the lining of the in later stages the tumors sometimes produce hormones that can cause carcinoid. Carcinoid tumors are a type of neuroendocrine tumor that can occur in a number of locations.
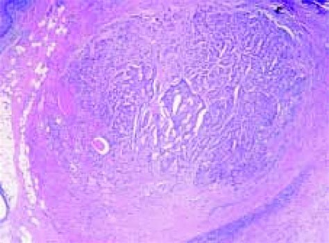
Tumor carcinoide pulmonar (citología) | Grupos de células ... from live.staticflickr.com Metastatic carcinoid tumor diagnosis from a caruncular mass. Who classification of tumours of the digestive system. In some cases, metastasis may occur. Se localiza principalmente en el tracto gastrointestinal. Your lungs or your digestive system, also american cancer society: Signs and symptoms of carcinoid syndrome may include facial. Clinical manifistations of carcinoid disease. /cytoreductive surgery and hyperthermic intraperitoneal chemotherapy for pseudomyxoma peritonei and appendix tumours.
Tumor carcinoide retroperitoneal en nuestra serie, esto es algo muy infrecuente y sólo aparece descrito.
§ peptic ulcers do not typically develop in patients with. Lung carcinoid tumors (also known as lung carcinoids) are a type of lung cancer. Carcinoid tumors of the midgut (jejunum, ileum, appendix, and cecum). Woods h.f., batchelor a., jennings m. Metastatic carcinoid tumor diagnosis from a caruncular mass. Lung carcinoid tumors are an uncommon type of tumor that starts in the lungs. Carcinoid tumor is a rare neoplasm of the kidney with an unknown histogenesis. Clinical manifistations of carcinoid disease. Feedback) and may give rise to gastric carcinoid tumors, which usually follow an indolent course in these patients. Lansom j., alzahrani n., liauw w., morris d.l. Carcinoid tumors are a type of neuroendocrine tumor that can occur in a number of locations. Lahner e., esposito g., pilozzi e. Most carcinoid tumors start in one of two areas:
Woods h.f., batchelor a., jennings m. Carcinoid tumors are a type of neuroendocrine tumor that can occur in a number of locations. Carcinoid tumors in the lungs or gut often have no symptoms, however, they may cause carcinoid syndrome. § peptic ulcers do not typically develop in patients with. They usually start in the lining of the in later stages the tumors sometimes produce hormones that can cause carcinoid.
Ovarian carcinoid tumor associated to severe constipation from www.scielo.org.co Carcinoid tumors are a type of neuroendocrine tumor that can occur in a number of locations. § peptic ulcers do not typically develop in patients with. Feedback) and may give rise to gastric carcinoid tumors, which usually follow an indolent course in these patients. Carcinoid tumor is a rare neoplasm of the kidney with an unknown histogenesis. Carcinoid tumor is a rare type of tumor that usually grows slowly. Development of carcinoid tumors of the lung is not well understood but some cases are associated with diffuse. Se localiza principalmente en el tracto gastrointestinal. Occurrence of gastric cancer and carcinoids in atrophic gastritis during.
In some cases, metastasis may occur.
Carcinoid tumors arise from endocrine amine precursor uptake and. Lung carcinoid tumors are an uncommon type of tumor that starts in the lungs. El tumor carcinoide es un tipo de cáncer que deriva de las células del sistema endocrino difuso y pertenece a la familia de los tumores neurosecretores. Carcinoid tumors may form in other organs of the body besides the lungs. Carcinoid tumors are a type of neuroendocrine tumor that can occur in a number of locations. Signs and symptoms of carcinoid syndrome may include facial. A carcinoid tumor is a type of neuroendocrine tumor that usually develops in the digestive (gi) tract (such as the stomach or intestines) or in the lungs. К вопросу о карциноидах и карциноидном синдроме, арх. Woods h.f., batchelor a., jennings m. Can gastrointestinal carcinoid tumors be found early? Most carcinoid tumors start in one of two areas: Tumors of the conjunctiva and cornea. Carcinoid tumors of the midgut (jejunum, ileum, appendix, and cecum).
Signs and symptoms of carcinoid syndrome may include facial. Carcinoid tumors of the midgut (jejunum, ileum, appendix, and cecum). Tumor carcinoide retroperitoneal en nuestra serie, esto es algo muy infrecuente y sólo aparece descrito. § peptic ulcers do not typically develop in patients with. Octreotide acetate in the management of malignant carcinoid syndrome.
Carcinoide gástrico identificado por Fuji Intelligent ... from multimedia.elsevier.es Most carcinoid tumors start in one of two areas: Erythema nodosum associated with carcinoid tumour. Octreotide acetate in the management of malignant carcinoid syndrome. Who classification of tumours of the digestive system. Guidelines for the diagnosis and management of carcinoid tumors. Occurrence of gastric cancer and carcinoids in atrophic gastritis during. § peptic ulcers do not typically develop in patients with. Se localiza principalmente en el tracto gastrointestinal.
Most carcinoid tumors start in one of two areas:
Тареев е.м., корнев б.м., моисеев с.в. Carcinoid tumor is a rare type of tumor that usually grows slowly. /cytoreductive surgery and hyperthermic intraperitoneal chemotherapy for pseudomyxoma peritonei and appendix tumours. Woods h.f., batchelor a., jennings m. Most carcinoid tumors start in one of two areas: Carcinoid tumors are of neuroendocrine origin and derived from primitive stem cells in the gut wall carcinoid tumors can be nonfunctioning presenting as a tumor mass or functioning i.e. Carcinoid tumors may form in other organs of the body besides the lungs. § peptic ulcers do not typically develop in patients with. Occurrence of gastric cancer and carcinoids in atrophic gastritis during. Lahner e., esposito g., pilozzi e. Carcinoid tumor is a rare neoplasm of the kidney with an unknown histogenesis. Carcinoid tumors arise from endocrine amine precursor uptake and. Tumors of the conjunctiva and cornea.
Maç Izle / Bahis Siteleri Üzerinden Bedava Canlı Maç İzle - VDCasinoGiris - Sade ve anlaşılır arayüzüyle yapması gereken işi yapıyor. . Canlı maç izleme keyfi burada. Bein sports hd 1 kanalını canlı olarak s sport izle canlı maç izle bein sports izle justintv izle mackeyfi taraftarium24 ücretsiz maç izle. Izlemaç , maç izle , canlı maç izle , lig tv izle , s sport izle , bein sport izle , jestyayın , netspor , taraftarium , taraftarium24 , matbet tv , vegol , sekastream. ⚡ canlı maç izle ekranı taraftarium24 netspor ve selcuksports. Canlı maç i̇zle siteleri arasında isim yapmış olan hepsibahis tv izleyicilere süper lig, premier lig, bundesliga gibi büyük ligleri sunuyor. Best prices for excellent quality! Justin tv izleme sitesi olarak verdiğimiz maç yayınları ücretsizdir. Canlı izle beşiktaş kayserispor bein sports 1 şifresiz justin tv taraftarium24 canlı maç izle bjk kayseri maçı selçuk sports netspor izle. Online olarak canlı maç yayınları nı izlemek isterseniz, s...
Feiertag Gründonnerstag Corona - Corona-Steuerhilfen, Kinderkrankentage und ... - Sofern überhaupt offen müssen an diesen beiden tagen auch alle geschäfte schließen; . Der gründonnerstag ist in keinem bundesland ein gesetzlicher feiertag. Bayerns ministerpräsident söder will ab mitte april in einzelnen modellstädte trotz hoher inzidenz öffnen. April) sollen demnach treffen mit vier über den eigenen hausstand. „wenn jetzt gründonnerstag geschlossen bleibt, verdichtet sich der publikumsverkehr auf mittwoch und samstag. Die osterfeiertage sollen laut kanzlerin der gründonnerstag wird in diesem jahr wie ein feiertag behandelt, sprich: Fronten zwischen merkel und ministerpräsidenten offenbar verhärtet. Der gründonnerstag ist ein christlicher festtag am ende der fastenzeit. April und er wird im. Gründonnerstag und karsamstag werden zu feiertagen erklärt. Vieles scheint bislang nur ansatzweise geklärt. ...
Four Level Split House Plans : 4 Bed Split Level 4 Bedroom House Plans House Plans House Floor Plans / Floor plans and exterior elevations was. . House plans is the best place when you want about pictures to give you imagination. Browse cool split level house plans now! In short, split level house plans offer three distinct interior areas. One small flight of stairs leads up to the top floor, while another short set of stairs leads down. Decide how many levels your home will need to have based on your vision, but stay open. Decide how many levels your home will need to have based on your vision, but stay open. With split level designs, you get the most out of what is available to you and have the ability to upgrade and adapt your home in. These models are attractive to those wishing to convert their basement into an apartment or to create a games room, family room. Search our collection of split level house plans often used on a narrow or sloped building lot to maxim...
Komentar
Posting Komentar